Lý thuyết Di truyền học người và di truyền y học (Sinh 12 Kết nối tri thức Bài 13)
Với tóm tắt lý thuyết Sinh 12 Bài 13: Di truyền học người và di truyền y học hay nhất, ngắn gọn sẽ giúp học sinh lớp 12 nắm vững kiến thức trọng tâm, ôn luyện để học tốt môn Sinh học 12.
Lý thuyết Di truyền học người và di truyền y học (Sinh 12 Kết nối tri thức Bài 13)
I. KHÁI NIỆM, VAI TRÒ CỦA DI TRUYỀN HỌC NGƯỜI VÀ DI TRUYỀN Y HỌC
1. Khái niệm
- Di truyền học người là ngành khoa học nghiên cứu về sự di truyền và biến dị ở người.
Di truyền học người
- Di truyền y học là một lĩnh vực của di truyền học người, chuyên nghiên cứu, tìm hiểu về cơ chế phát sinh và di truyền của các bệnh, từ đó đề xuất các biện pháp phòng tránh và chữa trị các bệnh di truyền.
2. Vai trò
- Vai trò của di truyền học người: Di truyền học người thuộc lĩnh vực nghiên cứu cơ bản, cung cấp cho chúng ta thông tin về cơ chế di truyền và biến dị ở người, từ đó cung cấp cơ sở dữ liệu cho nhiều ứng dụng thực tiễn như nghiên cứu y học, sự phát sinh và tiến hóa loài người; đưa ra các biện pháp giải quyết các vấn đề xã hội của di truyền học như sự di truyền trí năng, ứng dụng chỉ số DNA,… Ví dụ: Hiểu biết về mối quan hệ giữa kiểu gene và môi trường trong việc hình thành tính trạng giúp chúng ta có biện pháp phát triển tối đa về thể chất, năng lực, tố chất bẩm sinh của mình.
- Vai trò của di truyền y học: Di truyền y học thuộc lĩnh vực nghiên cứu ứng dụng, cho chúng ta biết nguyên nhân phát sinh các bệnh di truyền hay triệu chứng bệnh lí, từ đó có thể đưa ra các biện pháp tư vấn phòng ngừa, chẩn đoán và chữa trị một số bệnh di truyền.
II. MỘT SỐ PHƯƠNG PHÁP NGHIÊN CỨU DI TRUYỀN NGƯỜI
- Các nguyên lí di truyền áp dụng cho mọi sinh vật, kể cả loài người. Tuy nhiên, phương pháp nghiên cứu di truyền học người có một số điểm khác biệt với phương pháp nghiên cứu di truyền trên các đối tượng sinh vật khác do những khó khăn trong nghiên cứu di truyền người: vòng đời dài, số lượng con ít, thành thục sinh dục muộn, không thể hoặc hạn chế sử dụng phương pháp tác động đến hệ gene (đột biến, chuyển gene,...).
- Có nhiều phương pháp nghiên cứu di truyền người như phương pháp nghiên cứu ở cấp độ phân tử, phương pháp nghiên cứu tế bào, phương pháp nghiên cứu trẻ đồng sinh, phương pháp nghiên cứu phả hệ,…
Phương pháp |
Mục đích |
Nội dung |
Kết quả |
|
Nghiên cứu phả hệ |
Xác định gene quy định tính trạng là trội hay lặn, nằm trên NST thường hay giới tính, di truyền theo quy luật nào. |
Nghiên cứu sự di truyền của một tính trạng qua nhiều thế hệ trong những người có quan hệ họ hàng. |
Tóc quăn là trội so với tóc thẳng; bệnh mù màu đỏ và lục, máu khó đông là gene lặn trên NST X quy định,… |
|
Nghiên cứu trẻ đồng sinh |
Xác định tính trạng do kiểu gene quyết định hay phụ thuộc nhiều vào môi trường. |
So sánh những đặc điểm giống và khác nhau trong trường hợp đồng sinh sống trong cùng môi trường hay khác môi trường. |
Tính trạng nhóm máu, bệnh máu khó đông mù màu,… hoàn toàn phụ thuộc vào kiểu gene. Khối lượng cơ thể, độ thông minh phụ thuộc cả vào kiểu gene và môi trường. |
|
Nghiên cứu phân tử |
Xác định nguyên nhân gây bệnh di truyền người ở cấp độ phân tử. |
Sử dụng các phương pháp nghiên cứu di truyền phân tử như giải trình tự gene, PCR,… |
Xác định chính xác nguyên nhân của nhiều bệnh di truyền như bệnh hồng cầu hình liềm,... |
|
Nghiên cứu tế bào học |
Tìm ra khuyết tật về NST của các bệnh di truyền để chuẩn đoán và điều trị kịp thời. |
Quan sát, so sánh cấu trúc hiển vicủa bộ NST của những người mắc bệnh di truyền với bộ NST của người bình thường. |
Phát hiện được nguyên nhân các bệnh di truyền như Down, Turner, Klinefelter,… |
|
Nghiên cứu quần thể |
Xác định hậu quả của kết hôn gần, dự đoán xác suất bắt gặp người bị bệnh di truyền nào đó nào đó. |
Dựa vào công thức Hardy - Weinberg xác định kiểu hình để tính tần số các allele trong quần thể liên quan đến bệnh di truyền. |
Tính được tần số gene gây bệnh di truyền như mù màu, bạch tạng,… |
1. Phương pháp nghiên cứu phả hệ
a) Khái niệm
- Phả hệ là một sơ đồ dùng các biểu tượng hình học ghi lại sự di truyền của một (hoặc một vài) tính trạng từ thế hệ này sang thế hệ khác trong một dòng họ.
- Thực chất, phả hệ là sơ đồ “lai” tự nhiên ở người, cho biết cách thức một tính trạng nào đó được di truyền qua các thế hệ.
b) Cách thức xây dựng phả hệ
- Phả hệ thường được xây dựng theo các bước sau:
+ Xác định tính trạng cần nghiên cứu (thường là một bệnh di truyền).
+ Thu thập thông tin về tính trạng được nghiên cứu trên những người thuộc cùng một gia đình/dòng họ qua nhiều thế hệ.
+ Sử dụng các kí hiệu quy ước để biểu thị mối quan hệ họ hàng và sự di truyền của tính trạng nghiên cứu qua các thế hệ.
Một số kí hiệu được dùng trong lập phả hệ
Sơ đồ phả hệ thường được vẽ theo hình bậc thang thẳng đứng, từ trên xuống theo thứ tự các thế hệ ông bà, cha mẹ, con cháu,... Tuỳ theo mối quan hệ giữa các cá thể, giới tính, tính trạng của mỗi cá thể mà người ta dùng những kí hiệu tương ứng (theo quy ước quốc tế).
Mỗi thế hệ là một bậc thang, các con của một cặp bố mẹ được ghi lần lượt từ trái sang phải và từ người con lớn nhất. Phía bên trái mỗi thế hệ của phả hệ ghi các chữ số La Mã để chỉ thứ tự các thế hệ trong gia đình. Bên dưới kí hiệu của từng thành viên có ghi các chữ số Ả Rập để chỉ số thứ tự của thành viên trong thế hệ đó (có thể đánh số thứ tự liên tục từ 1 đến n cho cả phả hệ hoặc theo từng thế hệ).
Một số phả hệ người: phả hệ ghi sự di truyền của (a) bệnh bạch tạng, (b) tật nhiều ngón do gene, (c) bệnh mù màu
c) Ứng dụng
- Ứng dụng: Theo dõi sự di truyền của một đặc điểm nào đó qua các thế hệ có thể biết được đặc điểm này di truyền theo kiểu trội hay lặn, gene quy định tính trạng nằm trên NST thường hay NST giới tính, tính trạng do một, hai hay nhiều gene cùng quy định,...
- Thành tựu: Bằng phương pháp nghiên cứu phả hệ, các nhà di truyền học đã phát hiện được nhiều bệnh di truyền khác nhau ở người. Ví dụ: Bệnh bạch tạng do một đột biến gene lặn nằm trên NST thường quy định; Bệnh mù màu, máu khó đông do gene lặn nằm trên NST giới tính X quy định;…
- Hạn chế: Phương pháp nghiên cứu phả hệ cũng có một số hạn chế. Mỗi gia đình thường chỉ có một vài con nên cần phải nghiên cứu một số lượng lớn phả hệ mới có thể rút ra được kết luận chính xác về kiểu di truyền của một tính trạng.
2. Phương pháp nghiên cứu nhiễm sắc thể người
a) Khái niệm
- Phương pháp nghiên cứu nhiễm sắc thể người là phương pháp nghiên cứu các đặc điểm về số lượng, hình dạng, kích thước NST của bộ NST bình thường cũng như của bộ NST bất thường ở người.
b) Cách tiến hành
- Các nhà nghiên cứu thường lấy các tế bào bạch cầu của người đem nuôi cấy trong môi trường nhân tạo cho chúng phân chia.
- Các tế bào bạch cầu đang phân chia được lấy ra làm tiêu bản quan sát bộ NST ở kì giữa. Để tăng số lượng các tế bào ở kì giữa, người ta thường cho vào dung dịch nuôi cấy tế bào hoá chất colchicine ngăn cản sự hình thành thoi phân bào khiến các tế bào dừng lại ở kì giữa mà không thể chuyển sang kì sau.
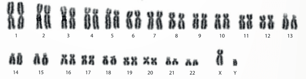
- Để có dữ liệu đối chứng với những bất thường về NST, các nhà di truyền học thường phải làm NST đồ bằng cách tiến hành thu thập hình ảnh về bộ NST bình thường và sắp xếp các cặp NST tương đồng thành hàng theo kích thước giảm dần, đánh số từ 1 đến 22 (đối với các cặp NST thường), còn cặp NST giới tính được xếp riêng ở phía cuối.
Bộ NST đồ (karyotype) của người bình thường (nam giới)
c) Ứng dụng
- Phương pháp di truyền tế bào giúp các nhà di truyền học hiểu được các đặc điểm của bộ NST bình thường của loài người.
- Ngoài ra, khi so sánh những bất thường về số lượng hoặc cấu trúc NST ở người bệnh với hình ảnh của các NST bình thường trên bộ NST đồ, người ta có thể xác định được những đột biến NST gây bệnh. Phát hiện sớm các đột biến ở thai nhi khi còn trong bụng mẹ giúp các cặp bố mẹ có thể đưa ra quyết định đình chỉ thai kì, tránh sinh ra con bị bệnh di truyền. Ví dụ: Chuyển đoạn giữa NST số 8 và số 14 trong tế bào soma của người gây nên loại ung thư bạch cầu Burkitt, đột biến chuyển gần như toàn bộ vai dài của NST 21 sang vai ngắn của NST 14 gây nên hội chứng Down.
Hội chứng Down
III. Y HỌC TƯ VẤN
1. Khái niệm
- Y học tư vấn hay di truyền học tư vấn là một lĩnh vực cung cấp thông tin cho bệnh nhân và những đối tượng có nguy cơ mắc bệnh di truyền hoặc sinh con mắc bệnh di truyền về nguyên nhân, cơ chế gây bệnh, khả năng mắc bệnh, biện pháp hạn chế và phòng tránh bệnh cho đời con,...
Y học tư vấn
2. Cơ sở khoa học
- Dựa trên quy luật di truyền và di truyền học quần thể, các nhà tư vấn có thể xác định được xác suất sinh con mắc bệnh di truyền của cặp vợ chồng được tư vấn là bao nhiêu để họ cân nhắc đưa ra các quyết định sử dụng các biện pháp giảm thiểu rủi ro. Ví dụ: Nếu cả hai vợ chồng đều mang allele lặn gây bệnh tan máu bẩm sinh thì xác suất sinh con bị bệnh là 1/4.
- Dựa trên các xét nghiệm về NST và các chỉ tiêu sinh hoá lấy từ dịch ối hoặc từ nhau thai, các bác sĩ có thể biết được thai nhi có mang đột biến NST hoặc mắc các bệnh di truyền hay không để tư vấn cho các cặp vợ chồng đưa ra quyết định phù hợp, tránh sinh con mắc bệnh di truyền.
Kĩ thuật chọc lấy dịch ối và sinh thiết tua nhau thai cho phép phát hiện một số bệnh di truyền ở thai nhi
+ Kĩ thuật chọc lấy dịch ối là một biện pháp chẩn đoán trước sinh có thể giúp phát hiện thai nhi bị các đột biến NST hay một số bệnh rối loạn chuyển hoá bẩm sinh. Ví dụ: Phụ nữ mang thai, đặc biệt là phụ nữ lớn tuổi nên làm các xét nghiệm trước sinh nhằm sớm phát hiện các bệnh tật di truyền (hội chứng Down, dị tật ống thần kinh,...) ở thai nhi để có thể đưa ra quyết định phù hợp với từng trường hợp.
+ Kĩ thuật sinh thiết lấy tế bào nhau thai khi thai nhi ở 11 – 13 tuần tuổi đem phân tích bộ NST cũng có thể phát hiện được các hội chứng Down và một số dị tật bẩm sinh.
- Các kĩ thuật phân tử giúp xác định gene gây bệnh và đưa ra phương pháp điều trị thích hợp. Ví dụ: Những người bị bệnh ung thư phổi có thể xét nghiệm để biết gene nào bị đột biến, qua đó đưa ra được phác đồ điều trị với loại thuốc đặc hiệu (thuốc đích).
3. Tư vấn
- Từ các kết quả nghiên cứu phả hệ, di truyền tế bào cũng như di truyền phân tử, các nhà khoa học có thể đưa ra tư vấn di truyền để phòng tránh và chữa trị một số bệnh di truyền.
- Những đối tượng cần đến cơ sở tư vấn di truyền trước khi kết hôn và sàng lọc trước sinh:
+ Các cặp trai gái chưa kết hôn đặc biệt là những người mà trong gia đình và dòng họ có người bị mắc bệnh di truyền hoặc dị tật bẩm sinh: Ở những trường hợp này, dựa vào thông tin cung cấp, bác sĩ tư vấn có thể xác định được bệnh di truyền theo kiểu trội hay lặn và tính được xác suất mang gene bệnh của đối tượng được tư vấn cũng như xác suất sinh con bị bệnh là bao nhiêu nếu họ kết hôn với một đối tượng dự kiến. Đồng thời, bác sĩ cũng có thể tư vấn cho những người có họ hàng gần hoặc những người có tiền sử gia đình cùng mắc một một căn bệnh di truyền nhất định không nên kết hôn với nhau để phòng tránh các bệnh di truyền ở đời sau vì xác suất để các gene lặn gây bệnh trở về trạng thái đồng hợp tử trong những trường hợp này là rất cao.
+ Các cặp vợ chồng đang có kế hoạch sinh con: Những trường hợp này có thể cần được tư vấn về thời điểm tốt nhất để sinh con, thời điểm thực hiện các kĩ thuật sàng lọc trước sinh, phương pháp chăm sóc trẻ sơ sinh,... nhằm phòng tránh tối đa khả năng sinh con bị các bệnh di truyền. Ví dụ: Phụ nữ cần cân nhắc có nên sinh con hay không khi trên 35 tuổi vì từ độ tuổi này trở đi, xác suất sinh con bị hội chứng Down là khá cao.
+ Những phụ nữ đã mang thai có nguy cơ sinh con bị bệnh di truyền: Những trường hợp này cũng cần được tư vấn về xác suất sinh con bị bệnh để họ đưa ra quyết định thực hiện các kĩ thuật chẩn đoán trước sinh, hoặc biết cách áp dụng các biện pháp chăm sóc trẻ sau sinh phù hợp nhằm giảm nhẹ triệu chứng bệnh lí cho trẻ. Ví dụ: Xét nghiệm một số chỉ tiêu hoá sinh có thể phát hiện được trẻ sơ sinh mắc bệnh rối loạn chuyển hoá bẩm sinh galactose huyết, từ đó tư vấn để bố mẹ của trẻ áp dụng chế độ ăn hạn chế đường lactose cho trẻ ngay sau sinh, giúp triệu chứng bệnh được giảm nhẹ hoặc không biểu hiện.
+ Đối với các bệnh nhân ung thư đã xác định được gene gây bệnh, các bác sĩ có thể tư vấn cho bệnh nhân lựa chọn thuốc điều trị riêng (thuốc hướng đích) giúp tránh được nhiều tác dụng phụ của thuốc và tăng hiệu quả điều trị.
IV. MỘT SỐ THÀNH TỰU VÀ ỨNG DỤNG CỦA LIỆU PHÁP GENE
1. Thành tựu trong nghiên cứu
- Khái niệm: Liệu pháp gene là biện pháp chữa trị bệnh di truyền bằng cách thay thế gene gây bệnh trong tế bào của người bệnh bằng gene bình thường hoặc chỉnh sửa gene bị bệnh.
Liệu pháp gene
- Liệu pháp gene gồm các kĩ thuật chủ yếu là:
+ Thay thế gene hỏng bằng gene lành.
+ Ức chế gene gây bệnh.
+ Chỉnh sửa gene hỏng.
+ Gây chết tế bào bệnh.
Sơ đồ một số nguyên lí liệu pháp gene
- Quy trình: Tế bào của người bệnh được lấy ra và đưa gene bình thường vào, đem nuôi cấy nhân lên với số lượng lớn sau đó tiêm trở lại cho bệnh nhân.
- Thành tựu:
+ Năm 2007, ở Pennsylvania và London, người ta đã sử dụng liệu pháp gene để chữa cho 4 bệnh nhân bị mù do một đột biến gene hiếm gặp. Mỗi bệnh nhân được tiêm một loại thể truyền là virus mang gene RPE65 bình thường để thay thế gene bệnh. Kết quả là thị lực của cả 4 bệnh nhân đã được cải thiện đáng kể. Năm 2009, các nhà khoa học đã tiến hành thử nghiệm liệu pháp gene để chữa bệnh mù bẩm sinh Leber cho 12 người. Kết quả cho thấy tất cả các bệnh nhân đều cải thiện được thị lực.
+ Năm 2018, các nhà nghiên cứu đã công bố kết quả khả quan việc dùng hệ thống CRISPR–Cas 9 chỉnh sửa được gene gây bệnh hồng cầu hình liềm trong tế bào người, sau đó tế bào đã chỉnh sửa được tiêm trở lại cho bệnh nhân. Mặc dù còn nhiều rào cản phải vượt qua trước khi có thể thử nghiệm rộng rãi trên người nhưng đây là một kĩ thuật đầy hứa hẹn của liệu pháp gene tương lai.
+ Điều trị rối loạn suy giảm miễn dịch (SCID) do gene mã hoá enzyme adenosine deaminase (ADA) bị đột biến.
Sơ đồ quá trình điều trị rối loạn suy giảm miễn dịch (SCID) nhờ liệu pháp gene
2. Ứng dụng
- Ứng dụng hiện nay của liệu pháp gene chủ yếu hướng đến chữa bệnh di truyền do một gene quy định.
- Tế bào mang gene chuyển đưa vào người bệnh phải có khả năng phân chia trong suốt cuộc đời để gene bình thường đưa vào tế bào để thay thế gene bệnh phải được duy trì và hoạt động trong suốt cuộc đời của bệnh nhân, nếu không, việc thay thế gene phải lặp đi lặp lại nhiều lần là không khả thi. Vì vậy, các tế bào gốc tuỷ xương của bệnh nhân là đối tượng thích hợp cho liệu pháp gene để chữa trị một số bệnh di truyền liên quan đến các tế bào máu, bệnh thiếu hụt miễn dịch.
- Tuy vậy, liệu pháp gene hiện nay mới đang ở giai đoạn nghiên cứu thử nghiệm và cũng còn nhiều rào cản về kĩ thuật cũng như đạo đức cần giải quyết:
+ Về kĩ thuật cần giải quyết. Ví dụ: Làm thế nào để gene chuyển vào tế bào người hoạt động đúng thời điểm, đúng vị trí, với liều lượng sản phẩm cần thiết? Làm thế nào đảm bảo được gene chuyển không ảnh hưởng đến sự hoạt động của các gene hay các hoạt động khác của tế bào?
+ Về khía cạnh đạo đức cũng phải được tính đến. Ví dụ: Liệu có nên chỉnh sửa hệ gene người? Việc can thiệp chỉnh sửa hệ gene đã được tiến hoá tạo ra qua hàng triệu năm có thể dẫn đến hậu quả khôn lường.
Xem thêm tóm tắt lý thuyết Sinh học lớp 12 Kết nối tri thức hay khác:
Lý thuyết Sinh 12 Bài 14: Thực hành: Quan sát một số dạng đột biến nhiễm sắc thể
Lý thuyết Sinh 12 Bài 16: Tương tác giữa kiểu gene với môi trường và thành tựu chọn giống
Lý thuyết Sinh 12 Bài 17: Thực hành: Thí nghiệm về thường biến ở cây trồng
Xem thêm các tài liệu học tốt lớp 12 hay khác:
- Giải sgk Sinh học 12 Kết nối tri thức
- Giải Chuyên đề Sinh 12 Kết nối tri thức
- Giải SBT Sinh học 12 Kết nối tri thức
- Giải lớp 12 Kết nối tri thức (các môn học)
- Giải lớp 12 Chân trời sáng tạo (các môn học)
- Giải lớp 12 Cánh diều (các môn học)
Đã có app VietJack trên điện thoại, giải bài tập SGK, SBT Soạn văn, Văn mẫu, Thi online, Bài giảng....miễn phí. Tải ngay ứng dụng trên Android và iOS.
Theo dõi chúng tôi miễn phí trên mạng xã hội facebook và youtube:Nếu thấy hay, hãy động viên và chia sẻ nhé! Các bình luận không phù hợp với nội quy bình luận trang web sẽ bị cấm bình luận vĩnh viễn.
- Soạn văn 12 (hay nhất) - KNTT
- Soạn văn 12 (ngắn nhất) - KNTT
- Giải sgk Toán 12 - KNTT
- Giải Tiếng Anh 12 Global Success
- Giải sgk Tiếng Anh 12 Smart World
- Giải sgk Tiếng Anh 12 Friends Global
- Giải sgk Vật Lí 12 - KNTT
- Giải sgk Hóa học 12 - KNTT
- Giải sgk Sinh học 12 - KNTT
- Giải sgk Lịch Sử 12 - KNTT
- Giải sgk Địa Lí 12 - KNTT
- Giải sgk Giáo dục KTPL 12 - KNTT
- Giải sgk Tin học 12 - KNTT
- Giải sgk Công nghệ 12 - KNTT
- Giải sgk Hoạt động trải nghiệm 12 - KNTT
- Giải sgk Giáo dục quốc phòng 12 - KNTT
- Giải sgk Âm nhạc 12 - KNTT
- Giải sgk Mĩ thuật 12 - KNTT


Giải bài tập SGK & SBT
Tài liệu giáo viên
Sách
Khóa học
Thi online
Hỏi đáp

